| 当院では定期的にホワイトニングキャンペーンを行っております。 LINE公式アカウントにてお知らせをしていきますので、 興味のある方は右の「友だち追加」より友達登録をお願いします。 |
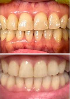
◇2023年10月01日 無料モニターキャンペーン開催
ご応募いただいた中から当選となった方々に、ホームホワイトニングオパールエッセンスGO
という既成の歯型トレーを90分はめるだけの物で体験していただきました。
明らかな白さを実感して頂き、さらに手軽さも大好評でした!
![]() |
![]() |
◇過去のホワイトニングキャンペーン
![]() 2019年03月02日 |
![]() 2019年08月01日 |
![]() 2020年03月06日 |
![]() 2023年03月30日 |
















